STUDY GRAFT
Nos cas cliniques
Recherche et innovation, création d’outils performants.
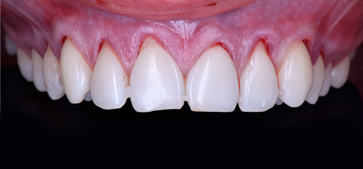
Cas clinique numéro 1 :
Greffe plastique parodontale Tunnel modifié :
Lésions cervicales d’usure de Cl I Miller, type 3 Zucchelli. Pre op, per op, post op, suivi à 1 an.
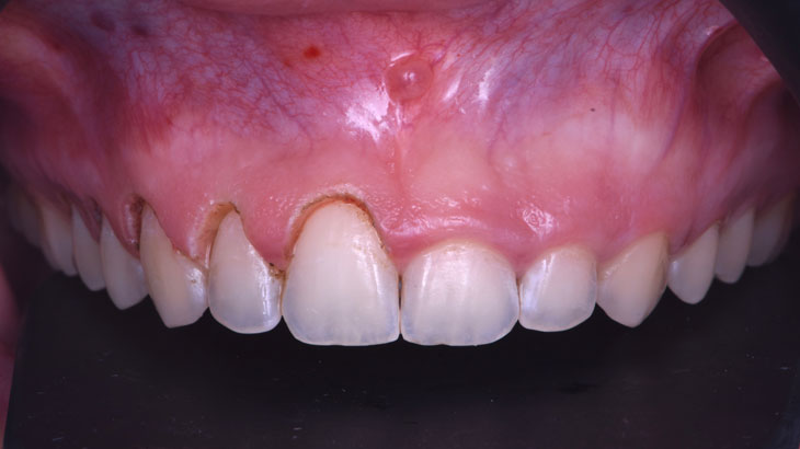
Cas clinique numéro 2 :
Greffe plastique parodontale Tunnel modifié :
Lésions cervicales d’usure de Cl I Miller multiples, type 2 Zucchelli. Pré op, per op, post op, suivi à 2 mois.
Cas clinique numéro 3 :
Greffe plastique parodontale Tunnel modifié :
Cl II Miller multiples, type 2 Cairo. Pré op, per op, post op, suivi à 9 mois.
Cas clinique numéro 4 :
Elongation coronaire :
Elongation coronaire dans un cas de syndrome d’éruption passive altérée, guide de gingivectomie, résultat à 1 mois.
STUDY GRAFT



































